欢迎选择我们,上海恒远生物科技有限公司!免费服务热线:400-0899-208          防伪查询

语言:Eng

您当前的位置:
首页>
产品中心>
抗体>
多克隆抗体>
EIF4EBP2 Antibody

多克隆抗体

EIF4EBP2 Antibody

  恒远生物抗体平台现已拥有4万多种抗体(含单抗和多抗),包括人类常用抗体,模式生物类相关抗体、小分子抗体、二抗、标签抗体及内参抗体等。并以每年4000种的速度在持续增长。

  恒远生物拥有专业的质控团队,配备先进实验仪器,现已成功地建立了ChIP平台,因此我们的抗体不仅能提供Biotin、FITC、HRP等标记,大部分抗体都能进行ELISA、WB、IHC、IF、IP、ChIP等应用验证。

  我们致力于为所有用户提供高亲和力、高特异性的优质抗体,欢迎来电咨询。

EIF4EBP2 Antibody

 
  • 货号:
    HYK-200226
  • 规格:
     
  • 图片:
    • Western blot
      All lanes: EIF4EBP2 antibody at 2µg/ml
      Lane 1: Mouse heart tissue
      Lane 2: NIH/3T3 whole cell lysate
      Secondary
      Goat polyclonal to rabbit IgG at 1/10000 dilution
      Predicted band size: 13 kDa
      Observed band size: 13 kDa
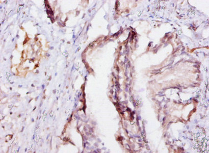
    • Immunohistochemistry of paraffin-embedded human prostate tissue using CSB-PA007563YA01HU at dilution of 1:10

产品详情

  • 产品名称:
    Rabbit anti-Homo sapiens (Human) EIF4EBP2 Polyclonal antibody
  • Uniprot No.:
    Q13542
  • 基因名:
    EIF4EBP2
  • 别名:
    4E-BP2 antibody; 4EBP2 antibody; 4EBP2_HUMAN antibody; eIF4E binding protein 2 antibody; eIF4E-binding protein 2 antibody; Eif4ebp2 antibody; Eukaryotic translation initiation factor 4E binding protein 1 antibody; Eukaryotic translation initiation factor 4E-binding protein 2 antibody; PHASII antibody; phosphorylated; heat and acid stable regulated by insulin protein II antibody
  • 宿主:
    Rabbit
  • 反应种属:
    Human, Mouse
  • 免疫原:
    Recombinant Human Eukaryotic translation initiation factor 4E-binding protein 2 protein (1-120AA)
  • 免疫原种属:
    Homo sapiens (Human)
  • 标记方式:
    Non-conjugated
  • 克隆类型:
    Polyclonal
  • 抗体亚型:
    IgG
  • 纯化方式:
    >95%, Protein G purified
  • 浓度:
    It differs from different batches. Please contact us to confirm it.
  • 保存缓冲液:
    Preservative: 0.03% Proclin 300
    Constituents: 50% Glycerol, 0.01M PBS, PH 7.4
  • 产品提供形式:
    Liquid
  • 应用范围:
    ELISA, WB, IHC
  • 推荐稀释比:
    Application Recommended Dilution
    WB 1:1000-1:5000
    IHC 1:10-1:100
  • Protocols:
    ELISA Protocol
    Western Blotting (WB) Protocol
    Immunohistochemistry (IHC) Protocol
  • 储存条件:
    Upon receipt, store at -20°C or -80°C. Avoid repeated freeze.
  • 货期:
    Basically, we can dispatch the products out in 1-3 working days after receiving your orders. Delivery time maybe differs from different purchasing way or location, please kindly consult your local distributors for specific delivery time.

CD59 Antibody

ENO2 Antibody

PHB Antibody

FTSJ1 Antibody

TBCC Antibody

AMBP Antibody


在线询价

  • *
  • *
  • *
  • *
  • *
  • *

相关产品

N Antibody, FITC conjugated

N Antibody, FITC conjugated

恒远生物抗体平台现已拥有4万多种抗体(含单抗和多抗),包括人类常用抗体,模式生物类相关抗体、小分子抗体、二抗、标签抗体及内参抗体等。并以每年4000种的速度在持续增长。

查看详细
REG3G Antibody

REG3G Antibody

恒远生物抗体平台现已拥有4万多种抗体(含单抗和多抗),包括人类常用抗体,模式生物类相关抗体、小分子抗体、二抗、标签抗体及内参抗体等。并以每年4000种的速度在持续增长。

查看详细
PROCR Antibody

PROCR Antibody

恒远生物抗体平台现已拥有4万多种抗体(含单抗和多抗),包括人类常用抗体,模式生物类相关抗体、小分子抗体、二抗、标签抗体及内参抗体等。并以每年4000种的速度在持续增长。

查看详细

请输入搜索关键字

确定