欢迎选择我们,上海恒远生物科技有限公司!免费服务热线:400-0899-208          防伪查询

语言:Eng

您当前的位置:
首页>
产品中心>
细胞>
小鼠细胞>
小鼠骨髓淋巴母细胞;3...

小鼠细胞

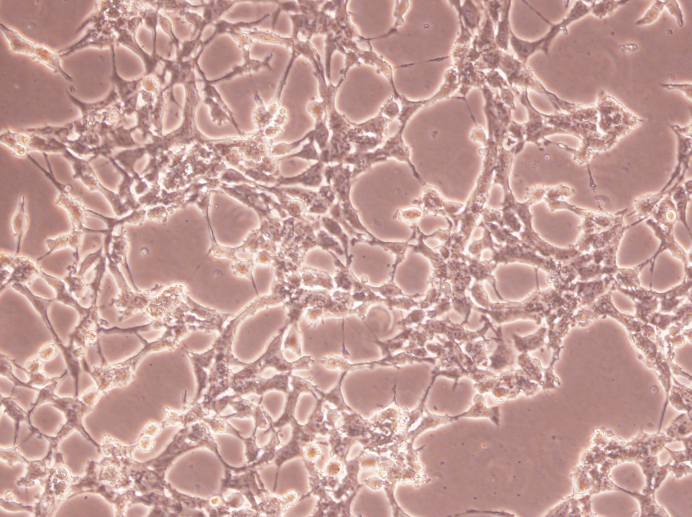
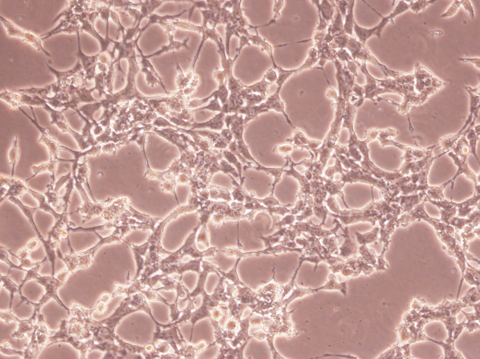
小鼠骨髓淋巴母细胞;32D clone3
恒远生物致力于建设国内最大、种类最全的细胞与微生物标准制品资源库,为大学、科研机构及生物医药研发企业提供高质量、可回溯、品控可靠的生物制品。主要包括原代细胞及通用细胞株、细胞培养周边试剂、微生物标准品等产品的开发、生产、储存和销售。欢迎来电咨询!

细胞名称
32D clone3小鼠骨髓淋巴母细胞
细胞别称
32D clone3
商品货号
HYCC20119
种属来源
小鼠
组织来源
骨髓
生长特性
半贴半悬
细胞形态
淋巴母细胞样
细胞规格
1×10^6cells/T25培养瓶或者1mL冻存管包装
支原体检测
培养基
RPMI1640+10%FBS+1ng/mlIL3+1%Anti-Anti
培养条件
气相:95%空气+5%二氧化碳;温度:37
冻存条件
无血清冻存液,液氮储存
倍增时间
~24-30小时


常温细胞收货后处理方法
1. 收到细胞后,首先观察培养瓶是否完好,若发现培养瓶有破裂,培养基外溢、浑浊等现象,请及时拍照并与我们联系。
2. 用 75%酒精对培养瓶表面进行消毒处理,将培养瓶置于细胞培养箱中静置培养 2~4 h,以恢复细胞状态。
3. 静置完成后,取出培养瓶,显微镜下观察细胞生长情况,并对细胞进行不同倍数拍照保存(40×,100×,200×各一张)前三天照片为重要售后依据。如发现细胞异常请及时与我们联系,如果细胞签收三天内未与我们联系,则默认为收货良好。
4. 若细胞密度超过 80%,则可以根据提供的细胞培养步骤进行传代或冻存;若细胞密度未达到80%,收集瓶中完全培养基,留 6mL 培养基,放入细胞培养箱中继续培养。


细胞培养操作
1) 复苏细胞:以下细胞培养冻存处理仅供参考,具体操作步骤以随货产品说明书为主
将含有1 mL细胞悬液的冻存管在 37℃水浴中迅速摇晃解冻,加4 mL培养基混合均匀。在1000 rpm条件下离心3 min,弃去上清液,加1-2 mL培养基后吹匀。然后将所有细胞悬液加入含适量培养基的培养瓶中培养过夜(或将细胞悬液加入6 cm皿中,加入约4 mL完全培养基,培养过夜)。第三天换液并检查细胞密度。
2) 细胞传代:如果细胞密度达 80%-90%,即可进行传代培养。
a) 弃去培养上清,用不含钙、镁离子的PBS润洗细胞1-2次。          
b) 加1 mL消化液(0.25%Trypsin-0.02%EDTA)于培养瓶中,使消化液浸润所有细胞,将培养瓶置于37℃培养箱中消化1 -3min(视细胞消化情况而定),然后在显微镜下观察细胞消化情况,若细胞大部分变圆并脱落,迅速拿回操作台,轻敲几下培养瓶后加2-3ml完全培养基终止消化。
c) 轻轻打匀后装入无菌离心管中,1000 rpm离心5 min,弃去上清液,补加1-2 mL培养液后吹匀。          
d) 将细胞悬液按1:2比例分到新的含8 mL培养基的新皿中或者瓶中,置于培养箱中培养。


贴壁细胞传代注意点:
l 一定要PBS洗一遍。
l 细胞多观察几次掌握时间,不要在细胞没有基本脱落就终止消化然后吹打下来,这样细胞  更容易分化和死亡。
l 不要一直对细胞吹打
3) 细胞冻存:待细胞生长状态良好时,可进行细胞冻存。下面 T25 瓶为例;
a) 收集细胞及细胞培养液,装入无菌离心管中,1000 rpm条件下离心4 min,弃去上清液,用PBS清洗一遍,弃尽PBS,进行细胞计数。
b) 根据细胞数量加入无血清细胞冻存液,使细胞密度1×10^6~1×10^7/mL,轻轻混匀,每支冻存管冻存1mL细胞悬液,注意冻存管做好标识。
c) 将冻存管放入-80℃冰箱,24 h后转入液氮灌储存。记录冻存管位置以便下次拿取。

GC-1 spg;小鼠精原细胞系

STC-1 小鼠小肠内分泌细胞系

C17.2 小鼠神经干细胞

ASMC 小鼠气道平滑肌细胞

MAEC 小鼠主动脉内皮细胞

MLO-Y4 小鼠骨样细胞

MA-891 小鼠乳腺癌高转移细胞

SVEC4-10 小鼠淋巴结上皮细胞

OKT 11 小鼠杂交瘤(抗CD2)细胞



在线询价

  • *
  • *
  • *
  • *
  • *
  • *

相关产品

小鼠结肠癌细胞 CT26.WT

小鼠结肠癌细胞 CT26.WT

恒远生物致力于建设国内最大、种类最全的细胞与微生物标准制品资源库,为大学、科研机构及生物医药研发企业提供高质量、可回溯、品控可靠的生物制品。主要包括原代细胞及通用细胞株、细胞培养周边试剂、微生物标准品等产品的开发、生产、储存和销售。欢迎来电咨询!

查看详细
小鼠骨髓瘤B淋巴细胞;SP2/MIL-6

小鼠骨髓瘤B淋巴细胞;SP2/MIL-6

恒远生物致力于建设国内最大、种类最全的细胞与微生物标准制品资源库,为大学、科研机构及生物医药研发企业提供高质量、可回溯、品控可靠的生物制品。主要包括原代细胞及通用细胞株、细胞培养周边试剂、微生物标准品等产品的开发、生产、储存和销售。欢迎来电咨询!

查看详细
小鼠胚胎成骨细胞前体细胞;MC3T3-E1

小鼠胚胎成骨细胞前体细胞;MC3T3-E1

恒远生物致力于建设国内最大、种类最全的细胞与微生物标准制品资源库,为大学、科研机构及生物医药研发企业提供高质量、可回溯、品控可靠的生物制品。主要包括原代细胞及通用细胞株、细胞培养周边试剂、微生物标准品等产品的开发、生产、储存和销售。欢迎来电咨询!

查看详细

请输入搜索关键字

确定