欢迎选择我们,上海恒远生物科技有限公司!免费服务热线:400-0899-208          防伪查询

语言:Eng

您当前的位置:
首页>
产品中心>
抗体>
单克隆抗体>
MSH6 Monoclonal Anti...

单克隆抗体

MSH6 Monoclonal Antibody

  恒远生物抗体平台现已拥有4万多种抗体(含单抗和多抗),包括人类常用抗体,模式生物类相关抗体、小分子抗体、二抗、标签抗体及内参抗体等。并以每年4000种的速度在持续增长。

  恒远生物拥有专业的质控团队,配备先进实验仪器,现已成功地建立了ChIP平台,因此我们的抗体不仅能提供Biotin、FITC、HRP等标记,大部分抗体都能进行ELISA、WB、IHC、IF、IP、ChIP等应用验证。

  我们致力于为所有用户提供高亲和力、高特异性的优质抗体,欢迎来电咨询。

MSH6 Monoclonal Antibody

 
  • 货号:
    HYK-200250
  • 规格:
     
  • 图片:
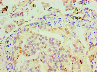
    • Immunohistochemical of paraffin-embedded Human lung cancer tissue using CSB-MA0150321A0m at dilution of 1:200.

产品详情

  • 产品名称:
    mouse anti-Homo sapiens (Human) MSH6 monoclonal antibody
  • Uniprot No.:
    P52701
  • 基因名:
    MSH6
  • 别名:
    DNA mismatch repair protein Msh6 antibody; G/T mismatch binding protein antibody; G/T mismatch-binding protein antibody; GTBP antibody; GTMBP antibody; hMSH6 antibody; HNPCC 5 antibody; HNPCC5 antibody; HSAP antibody; MSH 6 antibody; MSH6 antibody; MSH6_HUMAN antibody; mutS (E. coli) homolog 6 antibody; MutS alpha 160 kDa subunit antibody; MutS homolog 6 (E. coli) antibody; mutS homolog 6 antibody; MutS-alpha 160 kDa subunit antibody; p160 antibody; Sperm associated protein antibody
  • 宿主:
    mouse
  • 反应种属:
    Human
  • 免疫原:
    Recombinant Human MSH6 Protein
  • 免疫原种属:
    Homo sapiens (Human)
  • 标记方式:
    Non-conjugated
  • 克隆类型:
    monoclonal
  • 纯化方式:
    >95%,protein G purifed
  • 克隆号:
    2C12F3
  • 浓度:
    It differs from different batches. Please contact us to confirm it.
  • 保存缓冲液:
    Preservative: 0.03% Proclin 300 Constituents: 50% Glycerol, 0.01M PBS, PH 7.4
  • 产品提供形式:
    liquid
  • 应用范围:
    ELISA,IHC
  • 推荐稀释比:
    Application Recommended Dilution
    IHC 1:50-1:500
  • Protocols:
    ELISA Protocol
    Immunohistochemistry (IHC) Protocol
  • 储存条件:
    Upon receipt, store at -20°C or -80°C. Avoid repeated freeze.
  • 货期:
    Basically, we can dispatch the products out in 1-3 working days after receiving your orders. Delivery time maybe differs from different purchasing way or location, please kindly consult your local distributors for specific delivery time.

CD81 Monoclonal Antibody

RRM1 Monoclonal Antibody

NPPB Monoclonal Antibody

AFP Monoclonal Antibody

GDF15 Monoclonal Antibody

IGFBP1 Monoclonal Antibody


在线询价

  • *
  • *
  • *
  • *
  • *
  • *

相关产品

LCN2 Monoclonal Antibody

LCN2 Monoclonal Antibody

恒远生物抗体平台现已拥有4万多种抗体(含单抗和多抗),包括人类常用抗体,模式生物类相关抗体、小分子抗体、二抗、标签抗体及内参抗体等。并以每年4000种的速度在持续增长。

查看详细
乙酰化组蛋白H3抗体

乙酰化组蛋白H3抗体

Rabbit Anti-Histone H3 (acetyl K9)  antibody

查看详细
S Monoclonal Antibody

S Monoclonal Antibody

恒远生物抗体平台现已拥有4万多种抗体(含单抗和多抗),包括人类常用抗体,模式生物类相关抗体、小分子抗体、二抗、标签抗体及内参抗体等。并以每年4000种的速度在持续增长。

查看详细

请输入搜索关键字

确定